Because of a lapse in government funding, the information on this
website may not be up to date, transactions submitted via the website
may not be processed, and the agency may not be able to respond to
inquiries until appropriations are enacted.
The NIH Clinical Center (the research hospital of NIH) is open. For more
details about its operating status, please visit
cc.nih.gov.
Updates regarding government operating status and resumption of normal
operations can be found at opm.gov.
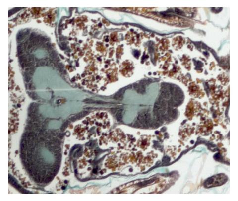
This photograph shows a magnified view of a Drosophila melanogaster pupa in cross section. Compare this normal pupa to one that lacks an important receptor, shown in image 2759.
Source
Christina McPhee and Eric Baehrecke, University of Massachusetts Medical School